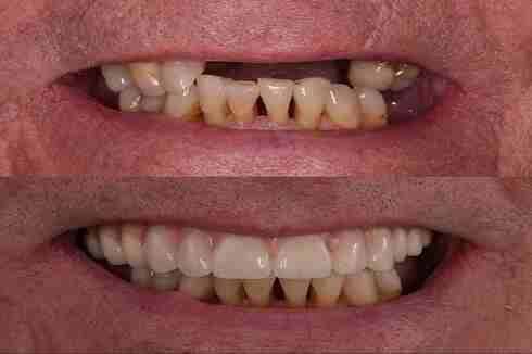
Tooth loss is a common issue for many seniors, often leading to difficulties with eating, speaking, and maintaining confidence in their appearance. Traditional dentures, while widely used, may not provide the stability or natural feel most patients desire. This is where modern implant dentistry offers a life-changing alternative through All on 4 Dental Implants Manchester, a treatment designed to give patients fixed teeth supported by only four strategically placed implants. For elderly patients seeking long-term comfort, improved oral function, and a renewed sense of self, this treatment has proven to be transformative.
What Are All-on-4 Dental Implants?
All-on-4 is a specialised technique that uses four dental implants to support a complete arch of prosthetic teeth. Unlike traditional full-arch restorations, which may require several implants or extensive bone grafting, this method is minimally invasive and cost-effective. By placing two implants vertically at the front and two tilted implants at the back, patients can achieve maximum stability while avoiding areas of weakened bone.For seniors concerned with bone loss due to age, this approach is especially advantageous. It ensures that even those who are not ideal candidates for standard implant procedures may still be able to restore their smile with this innovation.
Why Seniors Benefit from All-on-4
For older patients, the benefits of dental implant Manchester btreatments like All-on-4 extend beyond aesthetics. Tooth loss can significantly impact nutrition, digestion, and overall health. With stable and secure implants, seniors can enjoy a wider diet without the worry of dentures slipping or causing discomfort.Additionally, the psychological boost of having a natural-looking smile is invaluable, particularly for older adults who may be reluctant to socialise because of missing teeth. Unlike removable dentures, All-on-4 implants restore confidence while offering long-term functionality.
Key Benefits of All-on-4 for Seniors
- Restores full chewing power for a diet closer to natural teeth.
- Provides a fixed, non-removable solution compared with traditional dentures.
- Prevents further bone loss by stimulating the jawbone.

Comparing All-on-4 with Traditional Dentures
When trying to decide between dentures and All on 4 Dental Implants Manchester, many seniors weigh comfort, cost, and stability. The table below provides a clear comparison:
| Feature | Traditional Dentures | All-on-4 Dental Implants |
| Stability | Prone to slipping | Permanently fixed |
| Eating Ability | Restricted diet, less bite force | Almost full bite function |
| Comfort | Can cause sore spots | Feels natural and secure |
| Bone Health | Bone loss continues | Stimulates the jawbone, preventing loss |
| Lifespan | 5–8 years before replacement | 15+ years with proper care |
This comparison highlights why so many seniors are choosing All-on-4 over conventional options.
The Procedure for All-on-4 Treatment
The journey to a restored smile through Dental Implant Manchester treatment begins with a thorough assessment. A full evaluation involving scans, dental history, and bone quality is carried out to determine suitability. If patients have sufficient jaw structure, they can proceed to the implant surgery. The treatment stages typically include surgery, temporary prosthetic fitting, followed by healing and eventual placement of a permanent prosthesis.What makes this treatment suitable for seniors is its ability to provide immediate results in many cases, often allowing them to leave the clinic with a fully functioning set of temporary teeth on the same day. This immediate transformation significantly enhances quality of life almost instantly.
Advantages in Long-Term Oral Health
Bone density tends to diminish with age, especially if patients have been missing teeth for an extended period. All-on-4 implants address this issue by stimulating the jawbone with implant fixation, slowing down or preventing further bone loss. For seniors concerned about facial structure, this is vital, since bone deterioration can lead to a sunken appearance and premature ageing.Importantly, All-on-4 implants require less bone volume compared to traditional implant approaches, making the treatment more accessible to patients who might otherwise need grafts or zygomatic implants. Seniors who want a quicker, simpler solution often find this appealing.
Maintenance Made Easy
Another benefit of choosing all on 4 dental implants Manchester is the relative ease of maintenance. Unlike dentures that need removable cleaning and adhesives, these implants can be cared for similarly to natural teeth. Routine brushing, flossing around the implant-supported bridge, and regular dentist check-ups are usually sufficient to ensure longevity.For elderly patients looking for convenience in daily routines, this simplification makes a remarkable difference in maintaining oral hygiene without complex or time-consuming methods.
Emotional and Social Transformation
Tooth loss often affects more than an individual’s bite; it impacts how they feel about themselves socially. Many seniors find it difficult to engage confidently in conversations, smile openly, or even attend social gatherings. The stability and realistic appearance of All-on-4 implants restore not just functionality but also self-assurance.The emotional effects are often described as life-changing, allowing patients to feel younger, more confident, and socially engaged. This has a cascading impact on overall wellbeing, mental health, and quality of life.
Reasons Seniors Choose All-on-4
- Quicker treatment and faster recovery compared to traditional implants.
- Long-term durability and reliability.
- Enhanced quality of life and daily comfort.
Suitability of All-on-4 for Seniors
While All-on-4 is suitable for most older patients, a comprehensive evaluation remains necessary. Seniors with controlled systemic health issues, such as diabetes or osteoporosis, can often still undergo treatment if these conditions are stable. The advanced planning involved ensures risks are minimised while delivering predictable and successful results.Even patients who have worn dentures for decades may transition to implant-supported restorations, provided there is adequate bone support. This treatment, therefore, remains inclusive for a wide range of elderly patients.
Cost Considerations
The investment for Dental Implant Manchester procedures like All-on-4 can be higher initially than removable dentures. However, when viewed over their lifetime, they often prove cost-effective. Frequent denture replacements, adhesives and adjustments add up significantly, while implant restorations last many years with proper maintenance.For seniors seeking both value and quality of life, this treatment is seen not merely as a cosmetic choice but as a functional and health-driven investment.
Conclusion
For seniors struggling with missing teeth, All on 4 Dental Implants Manchester offer a remarkable solution that combines stability, functionality, and aesthetic improvement. They replace the inconvenience of dentures with a lasting, fixed option that supports bone health and restores confidence. Whether it is for the ability to eat freely, smile proudly, or live more independently, All-on-4 treatment is truly a life-changing option. At Smilo Dental Implants Manchester, we believe that seniors deserve not just restored teeth but also restored quality of life and this is precisely what All-on-4 provides.